Fakta Lengkap Tentang Blighted Ovum, Kehamilan Tanpa Embrio

0
46

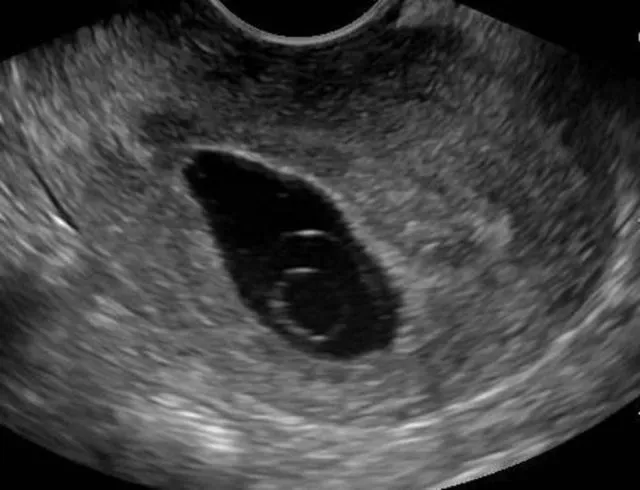
Blighted ovum, atau kehamilan anembrionik, adalah jenis keguguran yang terjadi sangat dini dalam kehamilan. Kondisi ini terjadi saat sel telur yang sudah dibuahi berhasil menempel di dinding rahim, tetapi tidak berkembang menjadi embrio. Akibatnya, kantung kehamilan tetap kosong dan akhirnya menyebabkan keguguran pada trimester pertama.

Artikel berjudul Fakta Lengkap Tentang Blighted Ovum, Kehamilan Tanpa Embrio ini kami hadirkan kembali dalam versi ringkas agar Anda bisa langsung menangkap inti pembahasannya tanpa harus membaca keseluruhan berita di sumber utama. Isinya kami pilih dari topik yang sedang ramai dibicarakan dan relevan dengan kehidupan sehari-hari.

Blighted ovum termasuk salah satu penyebab utama keguguran pada trimester pertama. Menurut Cleveland Clinic, kondisi ini bisa terjadi sebelum seseorang menyadari dirinya sedang hamil. Meskipun tidak ada embrio yang terbentuk, tubuh tetap menghasilkan hormon kehamilan karena kantung kehamilan dan plasenta tetap tumbuh. Ini menyebabkan gejala kehamilan awal seperti mual, nyeri payudara, dan bahkan hasil tes kehamilan positif.

Cleveland Clinic menjelaskan bahwa kondisi ini bisa dikenali melalui tiga situasi:


Kami menyajikan ringkasan dari artikel ini untuk memudahkan Anda memahami pokok pembahasannya. Anda bisa membaca berita selengkapnya melalui tautan di bawah ini:

Sumber: TrenMedia.co.id

Baca Juga:  Panduan Jalan Kaki Efektif untuk Turunkan Berat Badan secara Alami

🎯 VIDEO VIRAL

Tren Media News

75 subscribers • 380 videos • 37,802 views

TrenMedia.co.id, sebuah portal informasi digital yang hadir untuk menyajikan berita, artikel, dan tren terbaru. Kami percaya bahwa informasi yang tepat, akurat, dan relevan adalah kunci untuk membuka wawasan masyarakat di era serba cepat ini.

00:29

"RESPECT", Aksi Mengharukan Pegawai Restoran Bantu Anak Disabilitas, Wujud Empati...

00:41

Dugaan Penyaluran Pertalite ke Jerigen di SPBU Makassar Disorot, Diduga...

00:27

Bus Penumpang Doa Restu Kecelakaan di Tol Jombang–Mojokerto, Lokasi di...

01:21

Kelangkaan BBM di Makassar Lumpuhkan Nelayan dan Ancam Akses Pendidikan...

00:36

Kobra Jawa Masuk Toko Aksesoris di Bandung, Damkar Lakukan Evakuasi...

00:19

Lima Pekerja Jaringan Tersengat Listrik Tegangan Tinggi di Bogor, Saat...

00:43

Mobil Innova Terjun ke Jurang di Perbatasan Aceh, Pasangan Suami...

02:03

Gempa M7,6 Guncang Sulawesi Utara, BMKG Sebut Termasuk Kategori Megathrust

00:36

Viral Muda Mudi Tiduran di Mushola Pantai Logending, Warga Ambil...

00:30

Aksi Pencurian Mobil di Palembang Gagal, Pelaku Tabrak Sejumlah Motor...

00:25

Penemuan Bayi Meninggal di Dekat Stasiun Kertapati Gegerkan Warga, Polisi...

00:35

Kecelakaan di Patean Kendal Nyaris Renggut Nyawa Pelajar, Terjadi di...

00:28

Detik Detik Pemotor Terjatuh Saat Nyalip di Tikungan, Nyaris Tergilas...

01:13

Puluhan Ribu Obat Keras Ilegal Disita, Polisi Bongkar Jaringan Terorganisir...

00:58

Kebakaran Hebat Disertai Ledakan di Bekasi, Diduga Berasal dari Pangkalan...

00:40

Detik Detik Anak Tertabrak Truk di Karawang Terekam CCTV, Kejadian...

01:18

Indonesia Desak PBB Selidiki Serangan Israel di Lebanon yang Tewaskan...

00:36

Polisi yang sempat dimutasi ke Talaud saat sedang usut Korupsi...

00:36

Viral Mandi di Atas Batu Bara di Kalimantan, Fenomena Unik...

00:30

Aksi Sigap Ibu Gagalkan Curanmor di Tangerang, Pelaku Panik Kabur

00:36

Viral Antrean BBM, Warga Sebut “Bukan Panik, Ini Sudah Rest”

02:14

Viral Turis Diduga Mabuk Buat Onar di Bali, Ditegur Warga...

01:50

Mensesneg Tegaskan Harga BBM Tidak Naik, Ikuti Arahan Presiden Prabowo

00:36

Dua Sopir Baku Hantam di Jalinsum Labuhan, Picu Kemacetan

00:26

Viral Aksi Tidak Pantas terhadap Bayi, Picu Kecaman Warganet

01:44

Aksi Pencurian HP di Outlet Teh Terekam CCTV, Pelaku Pura...

00:12

Resmi, Harga BBM Tidak Naik per 1 April 2026, Masyarakat...

00:36

Viral Mobil Masuk ke Dalam Toko Oleh Oleh di Bandung,...

00:28

Damkar Badung Evakuasi Anjing Terjepit Pagar di Dalung Kuta Utara

00:36

Viral Dua Anak Diduga Konsumsi Miras, Publik Soroti Pengawasan Orang...